
Καρκίνος του προστάτη
Αν έχετε πρόσφατα διαγνωσθεί με καρκίνο του προστάτη ενημερωθείτε έγκαιρα για τις εφαρμογές της σύγχρονης ακτινοθεραπείας.
Ανεξάρτητα αν έχετε εντοπισμένο καρκίνο προστάτη χαμηλού ή υψηλού κινδύνου, αυτός μπορεί ν’ αντιμετωπισθεί αναίμακτα και αποτελεσματικά με την ακτινοθεραπεία, διατηρώντας ακέραιη την ποιότητα της ζωής σας.
Σε περίπτωση που έχετε υποβληθεί σε προστατεκτομή και το PSA στις 6 εβδομάδες μετά το χειρουργείο δεν έχει πέσει στο μηδέν, τότε θα χρειαστείτε και συμπληρωματική ακτινοθεραπεία.
Αν πάσχετε από υποτροπή ή μεταστατική νόσο καρκίνου του προστάτη και υποβάλλεστε σε ορμονοθεραπεία και / ή ανοσοθεραπεία η τοπική ακτινοθεραπεία μπορεί να βελτιώσει την ποιότητα ζωής και σε ειδικές περιπτώσεις να συμβάλλει ακόμη και στην ίαση.

Καρκίνος μαστού
H ακτινοθεραπεία είναι απαραίτητη μετά από μερική αφαίρεση του μαστού, όπως και σε ειδικές περιπτώσεις, μετά από ολική μαστεκτομή.
Οι σύγχρονες ακτινοθεραπευτικές τεχνικές (IMRT, IGRT) προστατεύουν τους υγιείς ιστούς, ιδιαίτερη σημασία δίνεται στην αποφυγή έκθεσης της καρδιάς στην ακτινοβολία, η οποία είναι εφικτή με την τεχνολογία ελέγχου της αναπνοής (DIBHT).
Ιδιαίτερο όφελος από την ακτινοθεραπεία έχουν οι ασθενείς με θετικούς λεμφαδένες.
Σε αρκετές περιπτώσεις είναι αναγκαία η συμπληρωματική ακτινοθεραπευτική δόση (boost) στην κοίτη του όγκου που μειώνει στο ελάχιστο τον κίνδυνο τοπικής υποτροπής.
Προσοχή: Η καθυστέρηση της έναρξης της μετεγχειρητικής ακτινοθεραπείας αυξάνει τον κίνδυνο τοπικής υποτροπής.
Μερικές γυναίκες καταφεύγουν άσκοπα σε μαστεκτομή, από φόβο ή άλλους παράγοντες που δυσκολεύουν την πρόσβαση στην ακτινοθεραπεία.
Γι’ αυτό ενημερωθείτε έγκαιρα!

Καρκίνος ορθού
Η προεγχειρητική ακτινοθεραπεία, σε συνδυασμό με τη χημειοθεραπεία, είναι απαραίτητη για τον καρκίνο του ορθού, όταν στη μαγνητική τομογραφία φαίνεται να διηθεί το περιορθικό λίπος και / ή τους λεμφαδένες.
Με τη λεγόμενη νέο-επικουρική ακτινοχημειοθεραπεία συρρικνώνεται ο όγκος, ώστε να γίνει πιο εύκολη η ασφαλής χειρουργική αφαίρεσή του. Σε αρκετές μάλιστα περιπτώσεις όγκων, που βρίσκονται πολύ χαμηλά, μπορεί να διατηρηθεί η φυσιολογική λειτουργία του σφιγκτήρα.
Σε έναν από τους πέντε ασθενείς η ακτινοχημειοθεραπεία μπορεί να εξαλείψει τον καρκίνο και να αποφύγετε το χειρουργείο, αν και εφόσον ελέγχεστε τακτικά από έμπειρη διεπιστημονική ομάδα.
Η μετεγχειρητική ακτινοθεραπεία με σύγχρονες τεχνικές μπορεί να εφαρμοστεί σε περιπτώσεις υπολειμματικής νόσου ή τοπικο-περιοχικής υποτροπής του καρκίνου και εξατομικεύεται ανάλογα με τα ευρήματα των απεικονιστικών εξετάσεων.

Καρκίνος του πνεύμονα
Η ακτινοθεραπεία μπορεί να εφαρμοστεί με πολύ καλά αποτελέσματα σε όλα τα στάδια της νόσου, από το πολύ αρχικό στάδιο, όπου χρησιμοποιούνται στερεοτακτικές τεχνικές (SBRT), το τοπικά προχωρημένο στάδιο στα οποίο συνήθως η ακτινοθεραπεία συνδυάζεται με χημειοθεραπεία, ανοσοθεραπεία και / ή χειρουργική επέμβαση ή ακόμα και το μεταστατικό στάδιο για αποτελεσματική και γρήγορη ανακούφιση των συμπτωμάτων.
Με τη χρήση προηγμένης τεχνολογίας στοχεύουμε τον όγκο με μεγάλη ακρίβεια, βελτιώνοντας τα θεραπευτικά αποτελέσματα με τις χαμηλότερες δυνατές παρενέργειες.
Ο καρκίνος του πνεύμονα δεν είναι πλέον ανίατη νόσος.
Γι’ αυτό ενημερωθείτε έγκαιρα!

Καρκίνος τραχήλου της μήτρας
Η ακτινοθεραπεία μπορεί να εφαρμοστεί σε όλα τα στάδια του καρκίνου τραχήλου της μήτρας.
Μετά τη βιοψία και την ιστοπαθολογική διάγνωση πρέπει να γίνει μαγνητική τομογραφία πυέλου για την εκτίμηση της έκτασης της νόσου και τον καθορισμό της πλέον κατάλληλης θεραπείας από έμπειρη διεπιστημονική ομάδα (ιατροσυμβούλιο).
Ανάλογα με την έκταση του καρκίνου στον τράχηλο της μήτρας μπορεί να απαιτηθούν περαιτέρω ενδοσκοπικές (κυστεοσκόπηση, ορθοσκόπηση) ή και απεικονιστικές εξετάσεις (PET/CT).
Στα αρχικά στάδια του καρκίνου του τραχήλου της μήτρας, η χειρουργική επέμβαση είναι η θεραπεία εκλογής και περιλαμβάνει τη ριζική αφαίρεση της μήτρας, του τραχήλου της μήτρας, μέρους του κόλπου, των ωοθηκών, των παραμητρίων, και των λεμφαδένων της πυέλου.
Η ακτινοθεραπεία ενδείκνυται μετεγχειρητικά ως επικουρική ή συμπληρωματική θεραπεία, σε περιπτώσεις στις οποίες η τελική ιστολογική εξέταση, δείχνει ευρήματα υψηλού κινδύνου για υποτροπή.
Η οριστική ή ριζική ακτινοθεραπεία εφαρμόζεται κυρίως στα τοπικά προχωρημένα στάδια του καρκίνου του τραχήλου της μήτρας ή σε αρχικά στάδια για ασθενείς με αντένδειξη για χειρουργική επέμβαση.
Για το βέλτιστο θεραπευτικό αποτέλεσμα είναι απαραίτητη η χρήση σύγχρονης τεχνολογίας (IMRT, IGRT, απεικονιστικά καθοδηγούμενη βραχυθεραπεία) με τις οποίες είναι εφικτή η χορήγηση ψηλών δόσεων στις προσβεβλημένες περιοχές και επιτυγχάνεται ταυτόχρονα η μείωση της έκθεσης στην ακτινοβολία του εντέρου και της ουροδόχου κύστης.

Καρκίνος του ενδομητρίου
Η θεραπεία εκλογής στον καρκίνο του ενδομητρίου είναι η ριζική υστερεκτομή.
Ακτινοθεραπεία και χημειοθεραπεία χορηγούνται μετά τη χειρουργική επέμβαση επικουρικά, σε περιπτώσεις που αυτό θα κριθεί αναγκαία με βάση τα παθολογοανατομικά ευρήματα.
Σε λιγότερο προχωρημένα στάδια αρκεί η εφαρμογή ενδοκολπικής βραχυθεραπείας για μείωση του κινδύνου τοπικής υποτροπής. Αυτή γίνεται σε 2-3 συνεδρίες με τη μέθοδο της τηλεκατευθυνόμενης μεταφόρτισης (afterloading) ενός κλειστού ραδιοϊσοτόπου.
Copyright (Photos)
© Mayo Foundation for Medical Education and Research

Καρκίνος του φάρυγγα
Η ακτινοθεραπεία μπορεί να εφαρμοστεί σε όλα τα στάδια καρκίνου του ανώτερου αεραγωγού συστήματος με στόχο την ίαση.
Οι σύγχρονες τεχνικές προσφέρουν πολύ καλά αποτελέσματα, όμως για το βέλτιστο θεραπευτικό αποτέλεσμα είναι εξαιρετικής σημασίας η διατροφική και ψυχολογική υποστήριξη του ασθενή που θα παρουσιάσει παρενέργειες, κυρίως δυσκαταποσία, μετά την 2η-3η εβδομάδα της θεραπείας με επακόλουθο τη μείωση πρόσληψης τροφής και την πιθανή αφυδάτωση.
Για την αποθεραπεία και αποκατάσταση απαιτείται αρκετός χρόνος, όπως επίσης και η καλή συνεργασία του ασθενή με όλη τη θεραπευτική ομάδα.

Όγκοι μαλακών μορίων (σαρκώματα)
Τα σαρκώματα μαλακών μορίων μπορούν να παρουσιαστούν σε οποιοδήποτε σημείο του σώματος, ενώ τα 2/3 των περιπτώσεων απαντώνται συνήθως στα άκρα.
Είναι σημαντικό να τονισθεί ότι σε υποψία σαρκώματος μαλακών μορίων δεν πρέπει να διενεργείται απευθείας χειρουργική επέμβαση ή ανοιχτή βιοψία αλλά ένας απεικονιστικός έλεγχος με μαγνητική τομογραφία και η λήψη δείγματος από τον όγκο για ιστοπαθολογική εξέταση πρέπει να πραγματοποιείται από έμπειρο κι εξειδικευμένο χειρουργό ή επεμβατικό ακτινολόγο καθοδηγούμενη από αξονικό τομογράφο ή υπέρηχο, ώστε το δείγμα να είναι αντιπροσωπευτικό του όγκου, χωρίς να υπάρχει κίνδυνος διασποράς.
Η θεραπεία του σαρκώματος είναι κατά βάση χειρουργική και συνίσταται στην ολική αφαίρεση του όγκου επί υγιών ορίων, μειώνοντας έτσι τον κίνδυνο της τοπικής υποτροπής.
Η ακτινοθεραπεία εφαρμόζεται συνήθως προεγχειρητικά ή μετεγχειρητικά.
Copyright (Photos)
© Mayo Foundation for Medical Education and Research
Όγκοι παραρρινίων κόλπων

O συνδυασμός χειρουργικής ακτινοθεραπείας με σύγχρονες τεχνικές σώζει τις λειτουργίες οργάνων αλλά και ζωές
* Οι παραρρίνιοι κόλποι είναι κοιλότητες του κρανίου γύρω από τη μύτη που περιέχουν αέρα. Τα κοινώς λεγόμενα ιγμόρεια αποτελούν π.χ. ένα ζευγάρι παραρρινίων κόλπων.

Τις περισσότερες φορές, η διάγνωση παραρρινίων κόλπων γίνεται αφού έχει αυξηθεί ο όγκος τους και προκαλούν συμπτώματα (ρινική απόφραξη, επίσταξη, πόνο στο πρόσωπο, ρινορραγία).
Σε αυτό το στάδιο, ωστόσο, είναι πολύ δύσκολο να αφαιρεθούν ριζικά.
Μετά το χειρουργείο, είναι απαραίτητη η συμπληρωματική Ακτινοθεραπεία, μερικές φορές σε συνδυασμό με μια σχετικά ήπια χημειοθεραπεία.
Η Ακτινοθεραπεία πρέπει να αρχίσει το αργότερο 6 εβδομάδες μετά το χειρουργείο και να γίνεται με σύγχρονες τεχνικές και τεχνολογία υψηλών προδιαγραφών, γιατί μόνο έτσι προστατεύονται τα γειτονικά όργανα της περιοχής (μάτια, οπτικά νεύρα, σιελογόνοι αδένες, στέλεχος εγκεφάλου κ.α.).
Οι δόσεις Ακτινοβολίας που απαιτούνται είναι υψηλές. Η δε ακτινοθεραπεία πρέπει να ολοκληρωθεί σε εντός διαστήματος 6 εβδομάδων. Οποιοιδήποτε “συμβιβασμοί” (χαμηλότερες δόσεις, μεγαλύτερη διάρκεια κ.α.) μειώνουν τις πιθανότητες τοπικού ελέγχου.
Και χωρίς τοπικό έλεγχο, δεν υπάρχει και ίαση.
Η υπόθεση του καρκίνου κρίνεται συχνά, όπως έχουμε ξαναπεί, στις λεπτομέρειες!

Πλάνο μετεγχειρητικής ακτινοθεραπείας – σχεδιασμός τεχνικής VMAT με το σύστημα Varian-Eclipse:
- Σύνολο: 33 συνεδρίες Aκτινοθεραπείας
- Συχνότητα: 5 φορές την εβδομάδα
- Τεχνολογία: Γραμμικός επιταχυντής Varian-Edge της Κλινικής ΑΓΙΟΣ ΛΟΥΚΑΣ Θεσσαλονίκης.
Copyright (Photos)
1. Paranasal Sinuses - © NCI, National Cancer Institute / Παραρρίνιοι κόλποι
2. © private Photo, Dr. Bagatzounis
3. © private Photo, Dr. Bagatzounis
ΚΑΡΚΙΝΟΣ ΤΟΥ ΟΡΘΟΥ – μηνύματα αισιοδοξίας και προβληματισμοί
© SciePro, stock.adobe.com; found in: Journal Onkologie, Rektumkarzinom

Οι πρώτες εμπειρίες με την ασθένεια
Από τους δυσκολότερους καρκίνους που αντιμετωπίζαμε ως ειδικευόμενοι σε Κλινικές Ακτινοθεραπευτικής Ογκολογίας των Πανεπιστημιακών Νοσοκομείων Erlangen και Würzburg στις αρχές της δεκαετίας του ’90 ήταν ο καρκίνος του ορθού – και συγκεκριμένα οι τοπικές υποτροπές του.
Στο πλαίσιο αυτό, ανέλυσα το 1997 σε μια αναδρομική μελέτη σ’ επιστημονικό περιοδικό της Γερμανίας 155 περιστατικά στο διάστημα 1980−19951 που έχριζαν ανακουφιστική ακτινοθεραπεία λόγω τοπικής υποτροπής.
Κοντολογίς, οι υποτροπές συνδέονται με: Αβάσταχτο πόνο, απώλεια αίματος, συρίγγια σε κύστη και κόλπο, οιδήματα στα κάτω άκρα και, το χειρότερο, παρά φύση έδρα (κολοστομία).
Όποιος/α δεν έχει αντιμετωπίσει τέτοια περιστατικά, δεν κατανοεί την αξία της ακτινοθεραπείας ως ανακουφιστική θεραπεία αλλά και δεν νιώθει την απελπισία του/της ιατρού όταν δεν μπορεί να βοηθήσει περαιτέρω.
Τον «εφιάλτη» αυτόν με τις τοπικές υποτροπές τον έζησα και τα πρώτα χρόνια που ανέλαβα υπεύθυνος της μονάδας Ακτινοθεραπευτικής Ογκολογίας Νεοπλασιών του Πεπτικού στο Ογκολογικό Κέντρο της Κύπρου στις αρχές της πρώτης δεκαετίας του 2000.
Οι κλινικές μελέτες και
Τα οφέλη της
προεγχειρητικής ακτινοθεραπείας
Προς τα τέλη της δεκαετίας ’90 τα αποτελέσματα μιας σουηδικής κλινικής μελέτης2 είχαν δείξει σημαντική μείωση στα ποσοστά τοπικής υποτροπής στον συγκεκριμένο καρκίνο με την προσθήκη πέντε συνεδριών ακτινοθεραπείας πριν την χειρουργική επέμβαση. Ακολούθησαν και άλλες κλινικές μελέτες3 οι οποίες ανέδειξαν τα οφέλη της προεγχειρητικής ακτινο-χημειοθεραπείας στον συγκεκριμένο καρκίνο που συρρικνώνονταν σημαντικά. Έτσι, όλο και περισσότεροι ασθενείς υποβάλλονταν μετά από 8-10 εβδομάδες σε χειρουργική επέμβαση με διατήρηση του σφιγκτήρα.
Στην Ελλάδα και την Κύπρο χρειάστηκε να περάσουν αρκετά χρόνια σκληρής δουλειάς μέχρι να καταφέρουμε οι ασθενείς να παραπέμπονται για προεγχειρητική ακτινοθεραπεία 5 ημερών ή ακτινο-χημειοθεραπεία 5 εβδομάδων και έπειτα να υποβάλλονται σε χειρουργική επέμβαση με την τεχνική της ΤΜΕ (total mesorectal excision) μετά από 1 εβδομάδα ή 8-10 εβδομάδες αντίστοιχα.
Αυτό οδήγησε σε ουσιαστική βελτίωση τις εκβάσεις στον συγκεκριμένο καρκίνο και τα περιστατικά με τοπική υποτροπή του καρκίνου του ορθού είναι σήμερα σπάνια.
Όμως, σε περιπτώσεις που για οποιονδήποτε λόγο ο ασθενής δεν έχει υποβληθεί σε προεγχειρητική ακτινοθεραπεία ή -ακτινοχημειοθεραπεία και η παθολογοανατομική εξέταση του χειρουργικού παρασκευάσματος δείξει στοιχεία ψηλού κινδύνου για τοπική υποτροπή, πρέπει ο ασθενής να αξιολογείται από ογκολογικό συμβούλιο για μετεγχειρητική χημειο-ακτινοθεραπεία. Παρόλο που αυτή έχει περισσότερες παρενέργειες από την προεγχειρητική, μπορεί να μειώσει σημαντικά τον κίνδυνο τοπικής υποτροπής.
Οι φάροι αισιοδοξίας
Εν τούτοις, την τελευταία δεκαετία βίωσα στα νοσοκομεία της Γερμανίας ένα από τα μεγαλύτερα επιτεύγματα στον καρκίνο του ορθού, δηλαδή την πλήρη εκρίζωση της ασθένειας σε έναν στους πέντε ασθενείς με τον συνδυασμό ακτινοθεραπείας και χημειοθεραπείας4.
Πολλοί από αυτούς που αποφασίζουν κατόπιν ενημερωμένης συναίνεσης (informed concent) να ακολουθήσουν ένα πρόγραμμα εντατικής παρακολούθησης δεν χρειάζονται καν χειρουργείο και διατηρούν μόνιμα τον σφικτήρα και την καλή λειτουργεία του.
Watch and wait − παρατηρώ και αναμένω
Αξίζει να σημειωθεί ότι αυτό το οφείλουμε στη Βραζιλιάνα χειρουργό Angelita Habr-Gama που τόλμησε να στηρίζει σθεναρά την πρακτική του watch andwait (παρατηρώ και αναμένω) W&W παρά την έντονη κριτική που δέχτηκε από τον ανδροκρατούμενο κλάδο της χειρουργικής. Αυτό δεν το λέω εγώ, αλλά το έγραψε ο Βill Heald, ο χειρουργός που εισήγαγε την τεχνική της TME και τη δίδαξε σε πάνω από 60 χώρες.
Ο Heald υπολογίζει στο 50% τα ποσοστά των ασθενών με καρκίνο του ορθού, στους οποίους με την κατάλληλη εξατομικευμένη ακτινοθεραπεία και χημειοθεραπεία μπορεί να εξαλειφθεί πλήρως η ασθένεια και να μπουν σε πρόγραμμα W&W.
Βιβλιογραφικές αναφορές
- Bagatzounis A, Kölbl O, Müller G, Oppitz U, Willner J, Flentje M. The locoregional recurrence of rectal carcinoma. A computed tomographic analysis and a target volume concept for adjuvant radiotherapy. Strahlenther Onkol. 1997 Feb;173(2):68-75.
- Swedish Rectal Cancer Trial. Improved Survival with Preoperative Radiotherapy in Resectable Rectal Cancer. N Engl J Med 1997;336:980-987
- Dutch Colorectal Cancer Group. Preoperative radiotherapy combined with total mesorectal excision for resectable rectal cancer. N Engl J Med . 2001 Aug 30;345(9):638-46.
- German Rectal Cancer Study Group and the OPRA Consortium. Chemoradiotherapy plus induction or consolidation chemotherapy as total neoadjuvant therapy for locally advanced rectal cancer: Pooled analysis of the CAO/ARO/AIO-12 and the OPRA randomized phase 2 trials. Eur J Cancer. 2024 Oct; 210:114291.
Εικόνες

Αξονική τομογραφία σταδιοποίησης
Αξονική τομογραφία σταδιοποίησης σε τοπικά προχωρημένο καρκίνο του ορθού: Εκτεταμένος όγκος (κόκκινες τελείες) του ορθοσιγμοειδούς με λεμφαδενική μετάσταση (κίτρινο βέλος) στο περιορθικό λίπος.

Διογκωμένο λεμφαδένα (κίτρινο βέλος) εκτός ορίων της χειρουργικής εκτομής
Η ίδια εξέταση δείχνει έναν διογκωμένο λεμφαδένα (κίτρινο βέλος) εκτός ορίων της χειρουργικής εκτομής (πράσινες τελείες).
Σε τέτοια περίπτωση επιβάλλεται η χρήση προεγχειρητικής ακτινο-χημειοθεραπείας που για άγνωστο λόγο στην συγκεκριμένη περίπτωση όμως δεν έγινε.
Ο ασθενής υπεβλήθη σε χειρουργική επέμβαση (χαμηλή πρόσθια εκτομή με προσωρινή κολοστομία).
Η παθολογοανατομική εξέταση του χειρουργικού παρασκευάσματος έδειξε έναν 4,5 εκ. όγκο του ορθού με διήθηση του περιορθικού λίπους, αγγείων και νεύρων, καθώς επίσης και μεταστάσεις σε 21 από τους 24 εξετασθέντες λεμφαδένες. Τα όρια εκτομής ήταν επίσης διηθημένα (R1). To χειρουργικό στάδιο είναι pT3, pN2b. O ασθενής υπεβλήθη σε μετεγχειρητική χημειοθεραπεία την οποία ολοκλήρωσε σε τέσσερις μήνες.

Προσθήκη μετεγχειρητικής ακτινοθεραπείας για μείωση του κινδύνου τοπικο-περιοχικής υποτροπής
Η αξονική τομογραφία μετά τη χημειοθεραπεία έδειξε σμίκρυνση του λεμφαδένα που κατά πάσα πιθανότητα περιέχει ακόμα ενεργή νόσο. Ο ασθενής διατρέχει ψηλό κίνδυνο τοπικής υποτροπής. Στην περίπτωσή του συστήνεται και η προσθήκη μετεγχειρητικής ακτινοθεραπείας για μείωση του κινδύνου τοπικο-περιοχικής υποτροπής.
Η ακτινοθεραπεία πρέπει να γίνεται με τις πλέον σύγχρονες τεχνικές (IMRT/VMAT).
Στις λεμφαδενικές μεταστάσεις οι οποίες δεν έχουν αφαιρεθεί με την χειρουργική επέμβαση χορηγείται αυξημένη δόση (simulanteous integrated boost) ακτινοβολίας.
Τοπικά προχωρημένος καρκίνος του λάρυγγα
Laryngeal cancer (aka voice box cancer)

Τοπικά προχωρημένος καρκίνος του λάρυγγα
Το παρόν κείμενο αναφέρεται σε 66χρονη κυρία με διάγνωση τοπικά προχωρημένου καρκίνου λάρυγγα σταδίου cT3 cN0 cM0 συμπεριλαμβανομένης προοδευτικής βραχνάδας.
Οι θεραπευτικές επιλογές: λαρυγγεκτομή ή ριζική ακτινοχημειοθεραπεία.
Επιλέγεται, ωστόσο, η ριζική ακτινοχημειοθεραπεία με στόχο την ίαση και διατήρηση του οργάνου και της λειτουργίας του.
Θεραπεία: Ακτινοθεραπεία (70.4Gy σε 32 συνεδρίες) με γραμμικό επιταχυντή τελευταίας τεχνολογίας και τεχνική VMAT, συνοδευόμενη από χημειοθεραπεία με cisplatin (μια φορά την εβδομάδα στην βάση ημερήσιας νοσηλείας, σύνολο 6 συνεδρίες).
Συνολική διάρκεια της ριζικής ακτινοχημειοθεραπείας: 6 1/2 εβδομάδες.

Αξονική τομογραφία πριν την θεραπεία:
Χωροκατακτητική εξεργασία στο πρόσθιο δεξιά βλεννογόνο του λάρυγγα στο ύψος της νόθας φωνητικής χορδής που εκτείνεται στην γνήσια φωνητική χορδή και διασχίζει τη μεσαία γραμμή προς τα αριστερά

Αξονική τομογραφία 5 μήνες μετά τη θεραπεία:
Ικανοποιητική έκπτυξη του λάρυγγα χωρίς παθολογική πρόσληψη σκιαγραφικής ουσίας.
Κλινική εικόνα και παρενέργειες της θεραπείας: η βραχνάδα έχει υποχωρήσει πλήρως, η γυναίκα έχει πολύ καλή ποιότητα ζωής. Το μοναδικό της πρόβλημα είναι ένα μετρίου βαθμού λεμφοίδημα που αναμένεται να βελτιωθεί ή και να υποχωρήσεις πλήρως μετά από φυσιοθεραπεία (λεμφική παροχέτευση).
Οι πρώτοι στόχοι επιτεύχθηκαν πλήρως: Ολοκλήρωση της θεραπείας χωρίς διαλείμματα (πολύ σημαντικό στον συγκεκριμένο καρκίνο) και ύφεση του όγκου με πλήρη αποκατάσταση της φωνής.
Ο επόμενος στόχος: η αποκατάσταση του λεμφοιδήματος.
Ο τρίτος στόχος: μακροχρόνια ογκολογική παρακολούθηση για δευτερογενή πρόληψη και έγκαιρη αντιμετώπιση των όποιων απώτερων επιπλοκών της θεραπείας.

"Το γλοιοβλάστωμα είναι ο πιο επιθετικός κακοήθης όγκος του εγκεφάλου"
ΣΤΕΡΕΟΤΑΚΤΙΚΗ ΑΚΤΙΝΟΧΕΙΡΟΥΡΓΙΚΗ
ΣΕ ΥΠΟΤΡΟΠΗ ΓΛΟΙΟΒΛΑΣΤΩΜΑΤΟΣ
Το γλοιοβλάστωμα είναι ο πιο επιθετικός κακοήθης όγκος του εγκεφάλου.
Σύμφωνα με τα νεότερα δεδομένα της κλινικής έρευνας, η θεραπευτική αντιμετώπιση της υποτροπής με τη μέθοδο της ακτινοχειρουργικής* μπορεί να βελτιώσει την ποιότητα ζωής του ασθενή και το διάστημα χωρίς πρόοδο της νόσου.
Παρά τη σημαντική πρόοδο στη θεραπευτική αντιμετώπιση (χειρουργική, ακτινοθεραπεία, χημειοθεραπεία), η πλειοψηφία των ασθενών με αυτή τη διάγνωση θα παρουσιάσει κάποια στιγμή υποτροπή (επανεμφάνιση της νόσου στην ίδια ή σε κάποια απομακρυσμένη περιοχή).
Παράμετροι:
- Την εντόπισή της (εντός ή εκτός πεδίου της προηγηθείσας ακτινοθεραπείας) και το μέγεθος της
- Τον χρόνο που παρήλθε μετά την αρχική ακτινοθεραπεία
- Τη φυσική κατάσταση και την ηλικία του ασθενή
Κλινικό παράδειγμα:
Νεαρός ασθενής (39 ετών) με διάγνωση γλοιοβλαστώματος (1η εικόνα), το οποίο αφαιρέθηκε χειρουργικά.
Ο ασθενής έλαβε μετεγχειρητική ακτινοθεραπεία για 6 εβδομάδες (2η εικόνα) σε συνδυασμό με χημειοθεραπεία.
Τι έδειξε ο δεύτερος απεικονιστικός έλεγχος
Μετά την ολοκλήρωση της συνδυασμένης ακτινο-χημειοθεραπείας (ακτινοθεραπεία σε συνδυασμό με τη χημειοθεραπεία) - και ενώ ο ασθενής συνέχιζε τη χημειοθεραπεία - η μαγνητική τομογραφία έδειξε μικρή εστία υποτροπής σε περιοχή του εγκεφάλου απομακρυσμένη από την αρχική εστία και το πεδίο της ακτινοθεραπείας (3η εικόνα).
Αντιμετώπιση
Αποφασίσθηκε να αντιμετωπισθεί με ΣΤΕΡΕΟΤΑΚΤΙΚΗ ΑΚΤΙΝΟΧΕΙΡΟΥΡΓΙΚΗ (5 συνεδρίες) και να προστεθεί το φάρμακο Bevacizumab στη χημειοθεραπεία.
Αποτελέσματα:
Ο νεαρός ασθενής παραμένει σε εξαιρετική φυσική κατάσταση, συνεχίζει την χημειοθεραπεία του.
Παράλληλα εργάζεται και έχει μια πολύ καλή ποιότητα ζωής.
Δρ. Θανάσης Μπαγκατζούνης
Ακτινοθεραπευτής Ογκολόγος
Απεικονιστικές Εξετάσεις
ΣΤΕΡΕΟΤΑΚΤΙΚΗ ΑΚΤΙΝΟΧΕΙΡΟΥΡΓΙΚΗ ΣΕ ΥΠΟΤΡΟΠΗ ΓΛΟΙΟΒΛΑΣΤΩΜΑΤΟΣ





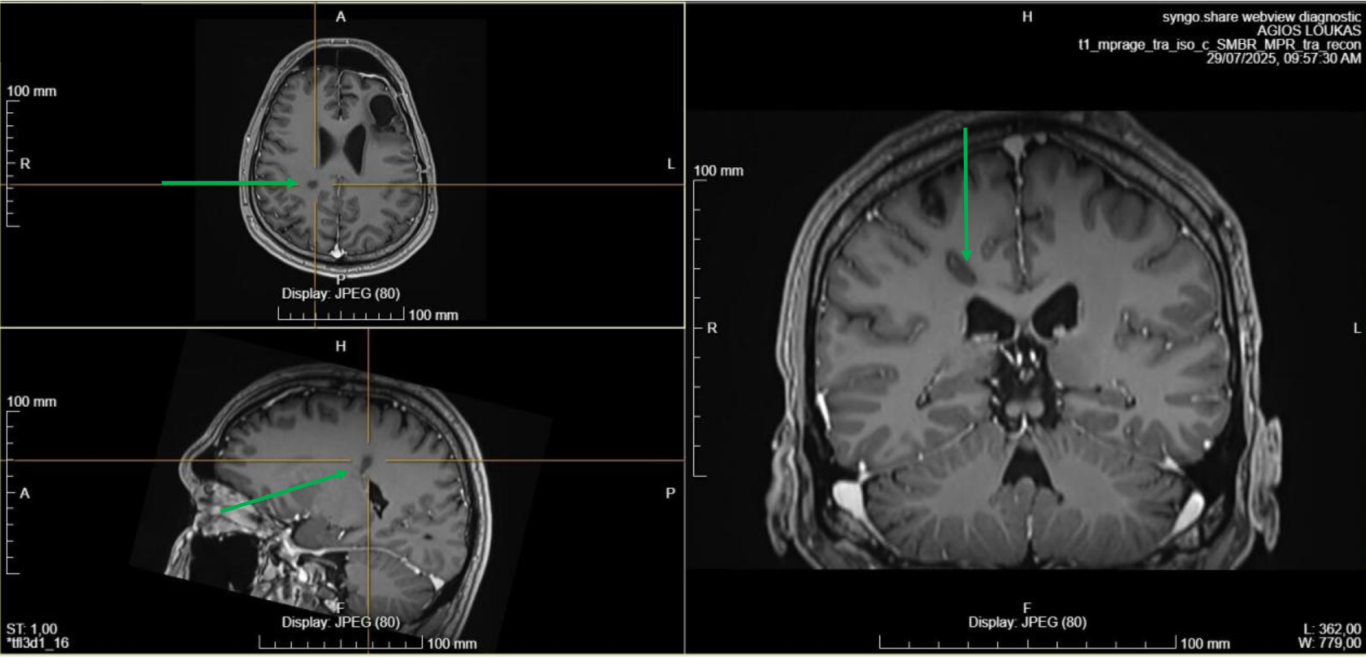
Περιγραφή εικόνων
Εικόνα 1: Μαγνητική τομογραφία εγκεφάλου: εκτεταμένο γλοιοβλάστωμα (4,6Χ3,2Χ4,2) εκ. στον αριστερό μετωπιαίο λοβό του εγκεφάλου.
Εικόνα 2: Μετεγχειρητική ακτινοθεραπεία με τεχνική VMAT
Εικόνα 3: απομακρυσμένη υποτροπή (πράσινο βέλος). Τα κίτρινα βέλη δείχνουν την χειρουργική κοιλότητα μετά την αφαίρεση του αρχικού όγκου.
Εικόνα 4: Ακτινοχειρουργική της υποτροπής
Εικόνα 5: Αποτέλεσμα της ακτινοχειρουργικής 6 εβδομάδες μετά: τα πράσινα βέλη δείχνουν στην περιοχή της υποτροπής τη δημιουργία ουλής.
© Δρ. Θανάσης Μπαγκατζούνης